Dental Cavities, also known as dental decay or dental caries are not directly contagious from one person to another, but the bacteria (such as lactobacillus, streptococcus mutants, etc) that cause them can be spread through saliva in the mouth directly or outside the mouth (indirectly).
Let’s learn what a cavity or dental decay means.
What is a dental cavity?

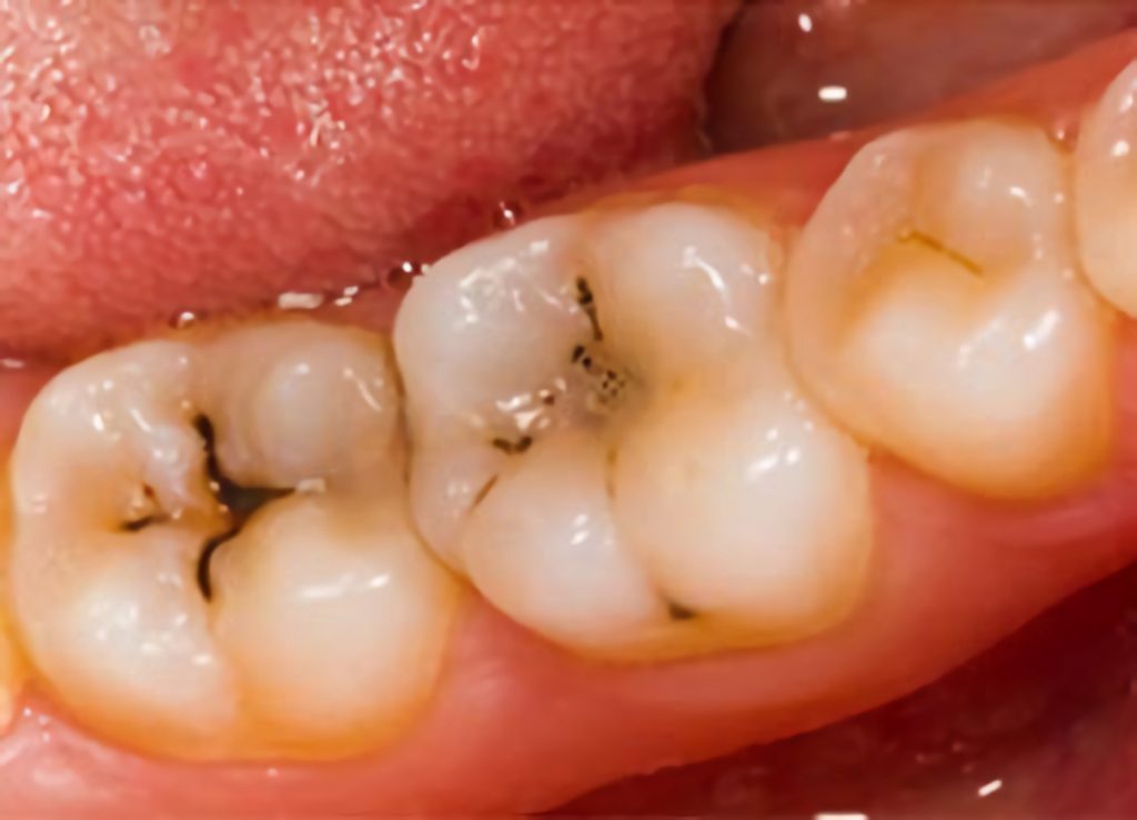
A dental cavity is a visible hole in the outer layer of a tooth called enamel only or also involving the second layer of the tooth called dentine. Dental caries, following after gingivitis, is the commonest dental problem affecting individuals of all ages and sexes all over the world. According to the World Health Organization estimates, over 2.5 billion people suffer dental decay of permanent and deciduous teeth. The greatest burden of dental decay is seen in the low and middle income countries, including Nigeria. While many people seek solutions to these dental health problems others are yet to do so, leading to bad outcomes including severe pains, loss of teeth, infection, loss of income , loss of life, etc.
STAGES OF CAVITY FORMATION:
Cavities appear in different stages, from very tiny holes to big CRATERS that accommodate food particles. The small holes sometimes get remineralized and stop further expansion in size. Interventions such as fillings with amalgam (mixture of mercury and silver powder) , composite resins, glass ionomer cement, Zinc oxide/Eugenol mix, etc can stop further damage to the deeper layers of dentin and pulp, thereby stopping pain from the tooth and/or loss of the affected tooth.
HOW ARE CAVITIES FORMED??.
Scientists record over 200 different types of bacteria that form naturally occurring sticky films on our teeth. These sticky films are called plaques. It should be noted that these naturally-occuring bacteria mostly exist in the mouth to promote good oral health. They act as a defense against bacterial microorganisms that cause cavities and other oral diseases.
Some of the harmful bacteria that cause dental decay include various lactobacilus and Streptococcus mutans, with the later being a primary cause of dental decay.
Cavities are formed when bacteria produce corrosive acids as byproduct of metabolizing starches, sugary drinks and food particles we consume. This acid (lactic acid) attacks the tooth’s enamel leading to loss of minerals in a process called demineralization. This loss of enamel minerals appears as a white spot on the tooth indicating an early sign of caries.
The body heals itself by using minerals such as calcium and phosphates from saliva and, fluorides from toothpaste. This process is called remineralisation. If the balance tips in favor of demineralization the enamel will go on to break down, forming a hole in the tooth. But if it tips in favor of remineralisation the tooth heals itself.
Low remineralisation =>> Cavity
High remineralisation =>> Decay reversal.
From the above explanation it should be noted that poor oral hygiene which allows food particles to remain in the mouth much longer than necessary is a common cause of dental decay.
It is important also to note that dental decay is not contagious, but the bacteria that cause decay can be transmitted through salivary fluid which can be transfered from one person to another, directly or indirectly.
Example of indirect spread of salivary bacteria include sharing food, drinks and eating utensils such a spoons, forks, chopsticks, etc with others. With such close contacts, exchange of oral bacteria becomes possible.
Example of direct spread include kissing in which exchange of saliva occurs. This explanation answers those who often ask dental health care professionals if dental caries can result from kissing. The answer is Yes, especially if your partner’s oral hygiene is poor and they harbor the bacteria that cause dental decay.
CAN MOTHER’S SPREAD BACTERIA TO THEIR NEWBORN?
Mothers can also spread bacteria to their newborns. It is therefore important that expectant mothers maintain good oral hygiene throughout their pregnancy. Brushing and flossing regularly are some of the ways to maintain good oral hygiene by pregnant women.
We may want to know ways mothers OR even caregivers transmit decay-causing bacteria to children??
1.Sharing eating utensils such as spoons, forks, cups, etc.
2.Blowing on hot food to cool it can result in flying bits of saliva being dropped on the food.
3.Kissing the baby on the mouth by mothers and caregivers is also one way of spreading bacteria to babies.
- Others may include rubbing noses together.
Aside these direct and indirect spread of bacteria, Mothers and caregivers with poor oral health habits also influence such habits in their children. If a mother or caregiver loves eating sugary food, the likelihood that her baby will follow same pattern is high. If a mother fails to practice and maintain good oral hygiene, the likelihood that her children will follow suit will be high.
What are the consequences of dental decay?
When a dental decay occurs we will spend money on fillings, crowns, root canals, tooth extractions, dentures, etc. Acute dental pain most often leads to absence from work, leading to low productivity and loss of manhours.
Prevention therefore remains the best!
To recap , we have learnt that cavity-causing bacteria resident in the mouth can be spread from one person to another, directly or indirectly. We have also learnt that the single most important factor in dental decay is poor oral hygiene. Therefore practicing good oral hygiene will help in decreasing or eliminating the risk of dental caries.
So how do we practice good oral hygiene and maintain good oral health?
- We need to brush at least twice a day with toothpaste.
- We need to floss on a daily basis in order to remove food particles that are lodged in places where our toothbrush bristles can’t reach.
- We may use OTC proprietary mouth washes to remove leftover food particles. Use of water to rinse one’s mouth after eating is also important.
- Regular visits to our dentists for checkups, routine scaling and polishing, etc. This should be done at least twice yearly.
- Eating a balanced diet is recommended.
6.Limiting sugary snacks. 7. Reducing sugary drinks.
© Innocent Nnabuike Uzuh (Dr Iyke) is a doctor of dental surgery based in Abuja. With skills earned from wide clinical practice. Dr Iyke practices in Garki, Abuja, FCT.
Contact 08033327789











